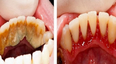
Tartrul este acel depozit neplacut de pe suprafata dintilor. Depozitul este format din bacterii care persista in cavitatea bucala din cauza lipsei unui periaj dentar zilnic, resturi alimentare si zahar nedizolvat. Tartrul incepe sa se depuna de pe la 8-9 ani, din momentul in care apar dintii definitivi. Bacteriile se depun pe dinti si apare astfel placa bacteriana.
Medicii dentisti ii avertizeaza pe parinti de mici in legatura cu igiena orala, motiv pentru care e usor nefiresc sa dam vina pe ei pentru problemele pe care ni le facem singuri cu dintii. Totusi, avand in vedere ca medicul si-a facut treaba, interesul lui nu va fi niciodata sa ofere solutii naturiste pentru ingrijirea dintilor caci menirea lui este alta. Asadar, reteta de mai jos nu ti-o va recomanda niciun medic stomatolog.