9 iul. 2017, 12:29ActualNu s-a mai spălat pe dinți de 20 de ani. Când i-a arătat gura noii sale iubite, OROARE. Imagini șoc!
5 mai 2017, 11:31ActualDentiștii nu vor ca tu să afli asta! Cum să scapi de TARTRU cu un singur ingredient din bucătărie
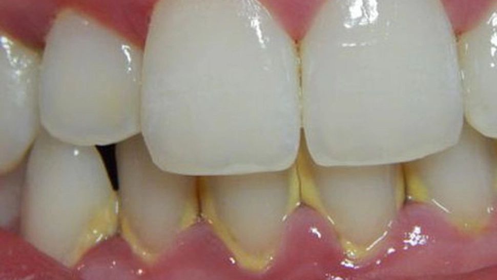
2 apr. 2017, 14:46LifestyleCea mai eficientă metodă de îndepărtare a tartrului. Nu mai ai nevoie de dentist
27 nov. 2016, 09:57LifestyleCea mai eficientă metodă de îndepărtare a tartrului. Nu mai ai nevoie de dentist
27 oct. 2016, 19:59ActualUimitor. S-a descoperit ingredientul-minune care îți albește dinții în 15 minute
25 sept. 2016, 14:35ActualUimitor. S-a descoperit ingredientul-minune care îți albește dinții în 15 minute
10 sept. 2016, 08:56LifestyleFără dentist. E clar: aceasta este cea mai eficientă metodă de îndepărtare a tartrului
3 apr. 2016, 20:53LifestyleCea mai eficientă metodă de îndepărtare a tartrului. Nu mai ai nevoie de dentist
26 mar. 2016, 13:29ActualUimitor. S-a descoperit ingredientul-minune care îți albește dinții în 15 minute
23 ian. 2016, 14:25ActualCe a descoperit un dentist în gura unui bărbat care nu s-a mai spălat de 10 ani pe dinţi. Uluitor!
28 nov. 2015, 10:30ActualCea mai eficientă metodă de îndepărtare a tartrului. Nu mai ai nevoie de dentist
25 nov. 2015, 14:42ActualUimitor. S-a descoperit ingredientul-minune care îți albește dinții în 15 minute
26 sept. 2015, 12:38ActualCea mai eficientă metodă de îndepărtare a tartrului. Nu mai ai nevoie de dentist
11 iul. 2015, 17:32ActualScapă de tartru cu un singur ingredient chiar la tine acasă! E atât de simplu
25 iun. 2015, 12:52ActualDescoperirea de ultimă oră care îi bulversează pe medici. Am scăpat de carii, tartru și dentist