Cât de periculoase sunt radiografiile pentru organism

Cât de periculoase sunt radiografiile pentru organism
Radiatiile X sunt o forma de radiatii prin ionizare. Acestea pot fi foarte periculoase. Cel mai important lucru este sa se cunoasca modul in care actioneaza fasciculul incident de raze x. Exista mai multe caracteristici ale razelor x care fac din acest tip de radiatii unele deosebit de periculoase pentru utilizarea lor in laborator. Este important faptul ca razele x sa nu fie utilizate in mod abuziv pe parcursul vietii unei persoane, intrucat aceasta poate fi expusa la o cantitate mare de radiatii, cumulative, scrie sfatulmedicului.ro.
Razele x sunt un tip de energie electromagnetica. Acesta au lungimi scurte de unda, ceea ce le permite sa transporte destul de multa energie. Atunci cand acestea sunt interceptate de organismul uman intra si radiatiile ionizate in ecuatie. Radiatiile ionizate pot respinde electronii care orbiteaza in jurul nucleelor atomilor. Cand electronii se deplaseaza, acestia creaza grupuri de atomi numite ioni, care pot imprastia alti atomi prin celule celui expus la radiatii x.
Deteriorarea celulelor in urma radiatiilor poate modifica ADN-ul si duce la cresterea sanselor formarii celulelor anormale in timpul replicarii sau chiar a transformarii in celule canceroase, in timp. Acesta este motivul pentru care specialistii utilizeaza doar doza necesara de radiatii x sau cea mai mica doza, in cazul imagisticii medicale.
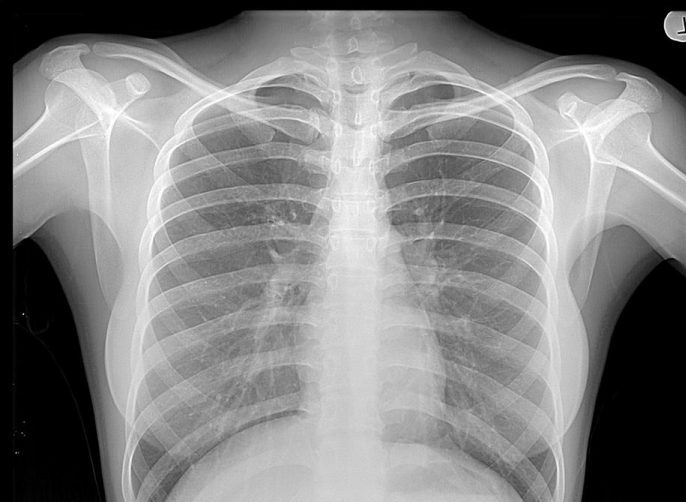
Mai mult, radiatiile se acumuleaza in timp, astfel incat pot sa apara probleme si in cazul in care se fac investigatii cu raze x in mod frecvent. Razele x nu sunt doar nocive, totusi. Din fericire celulele umane se pot vindeca in urma expunerii de scurta durata la raze x. In cazul unor afectiuni, razele x pot oferi imaginea unor portiuni de dinti sau organe interne care nu sutn vizibile din exteriorul corpului.
Acestea ajuta la evaluarea fracturilor, rupturilor sau modificarilor anormale ale oaselor si permit medicilor sa urmareasca eficienta operatiilor chirurgicale. In cele din urma, beneficiile stabilirii diagnosticului adecvat si a urmarii tratamentului optim sunt de multe ori mai mari decat riscurile presupuse de radiatii. Este adevarat ca razele x pot oferi chiar si indicii in cazul situatiilor mai delicate, cum ar fi cazul in care un copil inghite in mod accidental un obiect.
Citește și:
- 12:40 - Reacția lui Radu Miruță după acuzațiile șefului Romarm: „Ministrul Apărării nu decide firmele proiectelor SAFE”
- 12:17 - Alertă în Constanța: o tânără de 19 ani a vrut să se arunce de la etajul 4 al unui bloc. Negociatorii SAS au reușit să o convingă să renunțe în ultima secundă
- 12:06 - Poliția, în pragul unui exod de personal: Proiectul privind interzicerea cumulului pensiei cu salariul ar putea bloca sistemul. Zelca: „Vom contesta legea la CCR”
- 11:29 - Incendiu puternic la un restaurant din București: 20 de persoane evacuate. Pompierii au intervenit cu 8 autospeciale de stingere
Mai multe articole despre
Urmărește știrile Realitatea.NET și pe Google News














