Medicilor nu le-a venit să creadă când au văzut radiografia! Ce i-a crescut în CREȘTET unui bărbat, din cauza numeroaselor exerciții de breakdance

Medicilor nu le-a venit să creadă când au văzut radiografia! Ce i-a crescut în CREȘTET unui bărbat, din cauza numeroaselor exerciții de breakdance
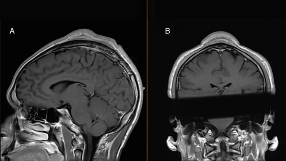
Un caz medical i-a surprins până și pe specialiști. În urma unei radiografii, aceștia au descoperit că unui împătimit al breakdanceului i-a apărut un guguloi în creștetul capului, ca urmare a numeroaselor rotiri pe cap, așa numitul procedeu "headspin", una dintre cele mai populare figuri în acest dans sportiv.
Un bărbat a dezvoltat „dul de breakdance” în vârful capului după ce a practicat în mod repetat headspins. Nodul bulbos de țesut, pe care medicii l-au îndepărtat chirurgical, devenise sensibil la atingere și avea dimensiunea cercului de cădere a părului, din cauza frecării cu podeaua.
Aceste umflături fără păr de pe cap sunt, de asemenea, numite în mod obișnuit „găuri de headspin (procedeul de rotire pe cap specific breakdance-ului)” sau, în limbaj de medicină sportivă, „sindrom de suprasolicitare a breakdancerului”.
„În ciuda faptului că aceste „găuri de headspin” sunt cunoscut în comunitatea breakerilor, este puțin documentat în literatura medicală”, au remarcat medicii într-o lucrare publicată într-o publicație de specialitate, citată de Live Scienece.
Pe baza rezultatelor lor, tratarea acestor umflături pe cap prin intervenție chirurgicală va deveni o procedură de rutină.
Citește și:
- 22:19 - Varză roșie sau verde? Un singur ingredient face diferența pentru intestin
- 08:45 - La Materia che Vive: Viggo Tailoring Spring Summer 2026
- 23:58 - Horoscopul banilor pentru săptămâna 27 aprilie – 3 mai 2026. Două zodii dau lovitura, în timp ce trei zodii învață să mai strângă cureaua
- 17:42 - Horoscopul săptămânii 27 aprilie – 3 mai 2026. Zodiile care dau lovitura la final de aprilie: bani, iubire și răsturnări de situație
Mai multe articole despre
Urmărește știrile Realitatea.NET și pe Google News














