Sursa infecției
Investigațiile epidemiologice indică faptul că bacteria Legionella s-ar fi răspândit prin sistemele de climatizare și turnurile de răcire din zonă. Specialiștii subliniază că microorganismul se dezvoltă în instalațiile de apă caldă, piscine, jacuzzi sau rețele de ventilație. Primele măsuri de decontaminare a turnurilor de răcire au fost deja luate de autorități.
„Facem tot ce este necesar pentru a controla situația și pentru a limita răspândirea. Zonele afectate au fost igienizate, iar locuitorii primesc informații constante”, a transmis Departamentul de Sănătate al orașului New York.
Cum se manifestă boala
Simptomele apar, de regulă, la 2–10 zile după expunere, însă în unele cazuri debutul poate întârzia până la două săptămâni.
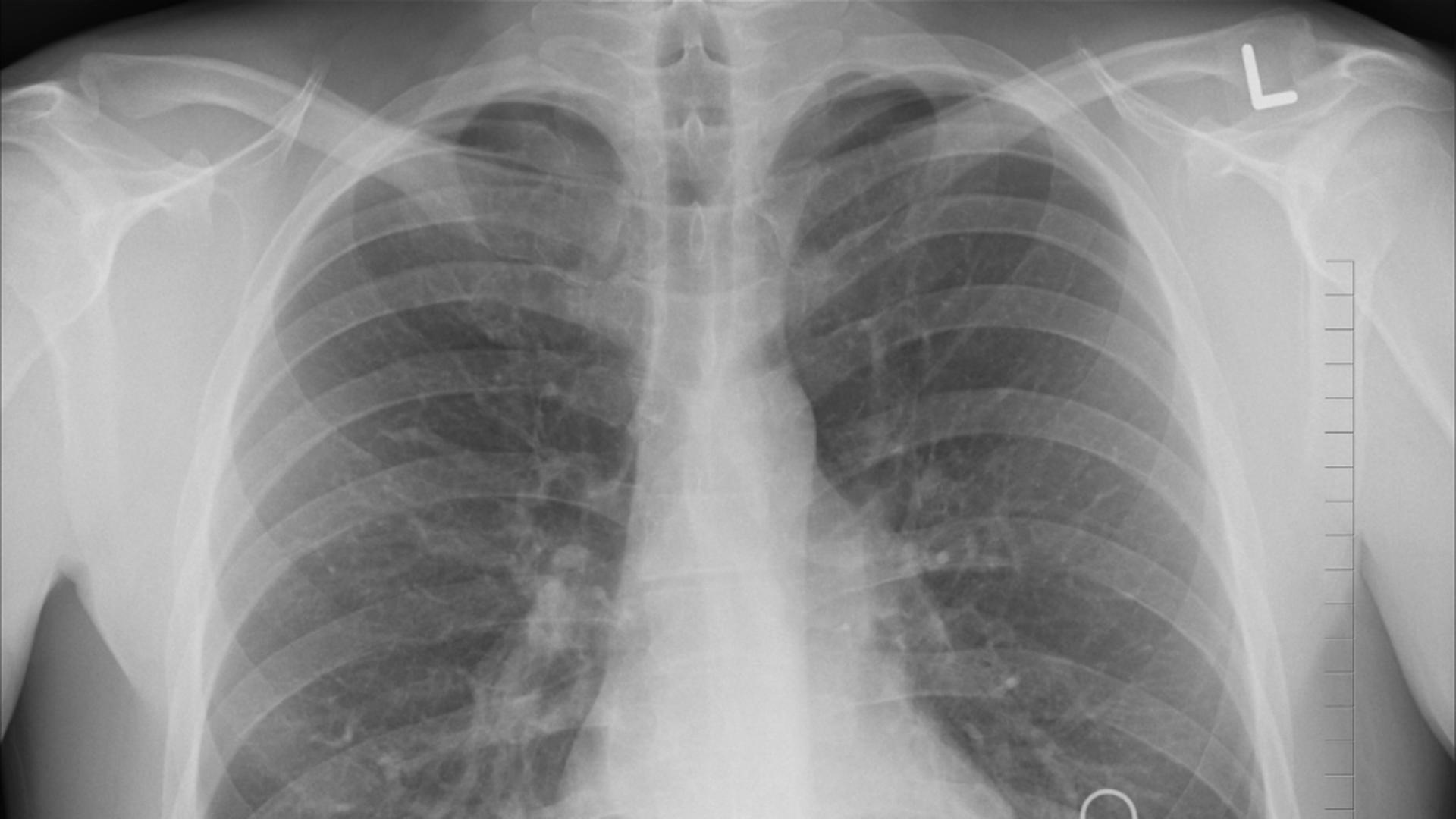
Forma gravă a bolii, legioneloza, provoacă pneumonie severă, febră mare, frisoane, tuse persistentă și dificultăți de respirație.
Forma ușoară, denumită „febra Pontiac”, seamănă cu o gripă comună și trece mai repede.
Rata de mortalitate variază semnificativ – de la 5% la 80% – în funcție de starea generală de sănătate a pacienților. Cele mai expuse categorii sunt vârstnicii, persoanele cu boli pulmonare cronice, cei cu imunitate scăzută și bolnavii de diabet.
Modalități de transmitere
Legionella nu se transmite de la om la om, ci prin inhalarea aerosolilor contaminați sau prin contactul apei infectate cu răni deschise. Printre sursele de risc se numără:
dușurile și robinetele;
fântânile arteziene;
vitrinele frigorifice cu pulverizare;
sistemele de ventilație centralizată.
Medicii avertizează că utilizarea țigărilor electronice poate crește vulnerabilitatea la infecție. Vaporii fierbinți și substanțele chimice inhalate afectează plămânii, reducând rezistența acestora în fața bacteriei.
Autoritățile locale continuă testările și dezinfectarea instalațiilor de răcire, în timp ce populația este sfătuită să acorde atenție simptomelor și să se prezinte rapid la medic în caz de suspiciune.