4 dec. 2017, 16:18ActualA ras miere hrean şi ghimbir. A făcut un sirop pe care l-a băut zi de zi. Ireal ce i s-a întâmplat!
7 nov. 2017, 09:18ActualBeneficiile spectaculoase ale apei cu ghimbir. Împiedică dezvoltarea celulelor canceroase
24 mai 2017, 22:20ActualSoluția perfectă pentru slăbit. Iată ce trebuie să consumi! Ingredientele le ai în bucătărie
20 mai 2017, 11:28ActualÎmpachetările cu ghimbir, secretul pentru slăbitul rapid! Iată tot ce trebuie să faci
17 mai 2017, 13:42ActualAcesta este cel mai puternic ANTIBIOTIC NATURAL! Se prepară foarte simplu cu ce ai în bucătărie
13 apr. 2017, 19:16ActualEfectele miraculoase ale consumului zilnic de apă cu ghimbir! Este aur pentru sănătate
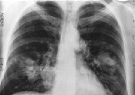
2 apr. 2017, 14:51LifestyleToți fumătorii trebuie să știe asta. Cel mai bun remediu natural pentru curățarea plămânilor
29 mar. 2017, 18:33ActualDieta cu ghimbir. Urmează pașii ăștia și o să slăbești 7 kiograme în 7 zile.
14 ian. 2017, 19:14ActualGhimbirul, minune la casa omului, dar şi OTRAVĂ! Iată în ce situaţii nu ai voie să îl consumi